Why You Should Choose Implant Supported Dentures

Implant Supported Dentures New York, NY

Implant-supported dentures are often a go-to choice for people who are missing multiple teeth. The truth is, missing teeth can significantly impact a person's overall confidence and likely means that there are health concerns that should be addressed. Missing teeth certainly should not be ignored. If you have been on the fence about implant-supported dentures, we are happy to explain why this is an excellent choice for restoring your smile.

What are implanted-supported dentures?

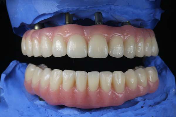
As the name suggests, implanted-supported dentures are a cross between implants and dentures. The process for placement is very simple. To begin, the dentist places four to six implants into the jawbone. Once the implants have time to fuse to the jawbone (this usually takes three to six months), customized dentures are put in place. This type of denture is different than traditional dentures because it can only be removed by a dentist once it is put in place.

The advantages of implant-supported dentures

It is important to know the many reasons that this type of dental prosthetic may be right for you. As mentioned, one of the biggest advantages of implant-supported dentures is that they cannot be removed without the assistance of a dentist. However, there are other advantages such as:

  • Prevents bone loss tissue: The implants stimulate the patient's gums, which works to prevent bone loss over time.
  • Feels and looks like natural teeth: One of the biggest struggles that patients have with traditional dentures is that they look unnatural. However, since implant-supported dentures are more customized and can't be easily removed, they look and feel like real teeth.
  • No adjustment time needed: There is no need for an adjustment period with implant-supported dentures, which means that patients can save a considerable amount of time.
  • Simple care process: It is easier than ever to take care of these prosthetics. In fact, patients simply clean and care for their dentures just as they would their natural teeth.
  • Enjoy eating again: Missing teeth can make it impossible to enjoy favorite foods. With implant-supported dentures, patients can get back to eating the foods they love the most.

Who is a good candidate for implant-supported dentures?

Dentures supported by implants are a great option for some people, but may not be the right solution for everybody. In order to qualify for implant-supported dentures, patients must first pass an initial exam. The dentist will evaluate if the patient has enough healthy jawbone for the procedure. In some instances, bone grafting or artificial bone tissue may be an option. If there is enough healthy jawbone to take on an implant, then the journey begins to restoring a smile that was once gone.

Schedule an implant-supported denture consultation

Everyone's smile matters. If you have been thinking about options for replacing multiple missing teeth then implant-supported dentures may be the right choice for you. We would love to work with new patients to help mend broken smiles!

Are you considering implant-supported dentures in the New York area? Get more information at https://www.newdimensiondentistry.com. 

Check out what others are saying about our dental services on Yelp: Implant Supported Dentures in New York, NY.

Related Posts

The Importance Of 3D Dental Scans

3D dental scans are revolutionizing the way dentists diagnose and treat a wide range of oral health conditions. Unlike traditional X-rays, 3D dental scans provide a detailed, three-dimensional view of the teeth, jaw, and surrounding structures, enabling more accurate diagnoses and precise treatment planning. This advanced imaging technology is becoming vital in modern dentistry, enhancing…

Replacements Options After Tooth Extraction

Are  you thinking that a tooth extraction is in the near future?  While it is ideal for saving any teeth that are in jeopardy of being lost, sometimes a dental professional cannot save a damaged or infected tooth. When one or more of your teeth are not savable, you need to have them extracted from…

Questions To Ask An Invisalign Dentist

Choosing the right Invisalign dentist is essential for anyone looking to straighten their smile. This treatment is offered by general dentists and orthodontists. It involves customized aligners designed to gradually adjust the alignment of a person's teeth. In order to ensure the best results and a seamless process, it is important to ask the right…

Why You Should Seek Treatment From A Cosmetic Dentist

Regular visits to the dentist are a must when it comes to maintaining good oral health. But, if you are looking for dental treatment to enhance your smile's appearance, a cosmetic dentist may be the way to go. A cosmetic dentist is a dental professional who specializes in improving the aesthetics of teeth and gums.…